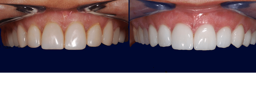
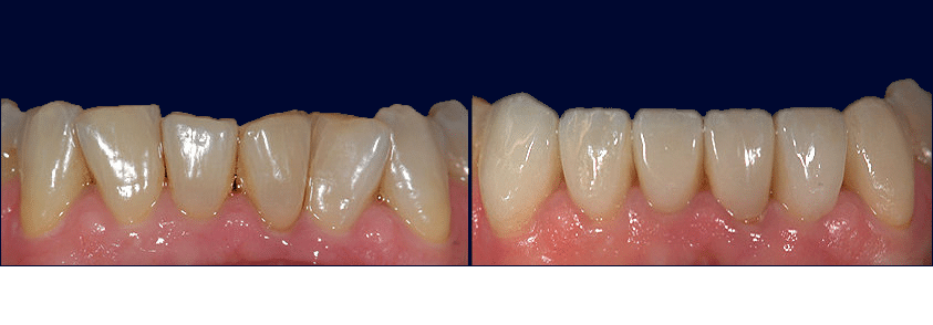
Nuestros casos reales | Lanchares Dental

Nuestros tratamientos | Lanchares Dental